PRESENTACIÓN DE CASOS
Ameloblastoma mandibular avanzado: a propósito de un caso
Advanced mandibular ameloblastoma: a case report
Pedro Alberto Pérez Pagés 1*, https://orcid.org/0000-0002-2103-407x
Maria Teresa Lima Reyna 1, https://orcid.org/0000-0002-7406-1186
Eric Gustavo Espino Hernández 2, https://orcid.org/0009-0005-4547-2452
Eliovanis Perera Cadavieco 2, https://orcid.org/0009-0004-9304-6100
1 Hospital Provincial Clínico-Quirúrgico-Docente “Faustino Pérez”. Matanzas, Cuba.
2 Universidad de Ciencias Médicas de Matanzas. Facultad de Ciencias Médicas de Matanzas “Dr. Juan Guiteras Gener”. Matanzas, Cuba.
*Autor para correspondencia: pedroalbertoperezpages@gmail.com
Recibido: 23/09/2025
Aceptado: 22/02/2026
Cómo citar este artículo: Pérez-Pagés PA; Lima-Reyna MT; Espino-Hernández EG; Perera-Cadavieco E. Ameloblastoma mandibular avanzado: a propósito de un caso. MedEst. [Internet]. 2026 [citado acceso fecha]; 6:e485. Disponible en: https://revmedest.sld.cu/index.php/medest/article/view/485
RESUMEN
Introducción: el ameloblastoma es el tumor odontogénico epitelial benigno más frecuente, caracterizado por crecimiento lento, alta recurrencia y capacidad de destrucción ósea extensa. Su diagnóstico tardío origina lesiones de gran tamaño con compromiso funcional y deformidades faciales severas.
Objetivo: describir un caso de ameloblastoma mandibular avanzado en paciente geriátrico, enfatizando las implicaciones del diagnóstico tardío en el manejo quirúrgico.
Presentación del caso: paciente masculino de 78 años con aumento de volumen progresivo en hemicara y cuello izquierdos de 10 años de evolución. Presentaba disfagia mecánica, disartria y sangrado oral recurrente. El examen físico reveló tumoración de 10 cm de diámetro, consistencia pétrea, sin signos inflamatorios. La tomografía computarizada mostró lesión osteolítica multiloculada de 7.2 × 9.9 cm que ocupaba cuerpo y rama ascendente de la hemimandíbula izquierda, con destrucción de más del 50% del hueso. La biopsia incisional confirmó ameloblastoma. Se realizó hemimandibulectomía radical con desarticulación y márgenes de seguridad bajo anestesia general. El estudio histopatológico definitivo confirmó ameloblastoma folicular. La evolución postoperatoria fue satisfactoria, sin complicaciones, con alta médica al décimo día.
Conclusiones: el diagnóstico tardío de ameloblastoma en pacientes geriátricos determina la necesidad de resecciones quirúrgicas extensas con mayor morbilidad. Este caso subraya la importancia del examen bucal sistemático en la práctica estomatológica rutinaria para detección precoz de lesiones odontogénicas.
Palabras Clave: Ameloblastoma; Cirugía Maxilofacial; Neoplasias orales
ABSTRACT
Introduction: ameloblastoma is the most frequent benign epithelial odontogenic tumor, characterized by slow growth, high recurrence rate, and extensive bone destruction capacity. Delayed diagnosis results in large lesions with functional compromise and severe facial deformities.
Objective: to describe a case of advanced mandibular ameloblastoma in a geriatric patient, emphasizing the implications of delayed diagnosis in surgical management.
Case presentation: 78-year-old male patient with progressive volume increase in left hemiface and neck of 10 years evolution. Presented mechanical dysphagia, dysarthria, and recurrent oral bleeding. Physical examination revealed 10 cm diameter tumor, stony consistency, without inflammatory signs. Computed tomography showed multilocular osteolytic lesion of 7.2 × 9.9 cm occupying body and ascending ramus of left hemimandible, with destruction of more than 50% of bone. Incisional biopsy confirmed ameloblastoma. Radical hemimandibulectomy with disarticulation and safety margins was performed under general anesthesia. Definitive histopathological study confirmed follicular ameloblastoma. Postoperative evolution was satisfactory, without complications, discharged on tenth day.
Conclusions: delayed diagnosis of ameloblastoma in geriatric patients determines the need for extensive surgical resections with greater morbidity. This case underscores the importance of systematic oral examination in routine stomatological practice for early detection of odontogenic lesions.
Keywords: Ameloblastoma; Maxillofacial Surgery; Oral neoplasms
INTRODUCCIÓN
El ameloblastoma es el tumor odontogénico epitelial benigno más frecuente, caracterizado por comportamiento localmente agresivo, alta tasa de recurrencia y capacidad de destrucción ósea extensa. (1)Representa aproximadamente el 1 % de todos los tumores orales y el 11 % de los odontogénicos, con predilección mandibular (80% de los casos), particularmente en región posterior.(2,3) Aunque puede presentarse a cualquier edad, la mayor incidencia ocurre entre la tercera y quinta décadas de vida, sin predilección por sexo. (4)
Clínicamente se manifiesta como crecimiento lento e indoloro, frecuentemente asintomático en etapas iniciales, lo que contribuye a diagnósticos tardíos con lesiones de gran tamaño. (5) Radiográficamente aparece como lesión radiolúcida uni o multiloculada, bien delimitada, a menudo asociada a diente retenido. (2) La clasificación de la Organización Mundial de la Salud (CIE-11: 2F30.01) distingue variantes sólido/multiquística, unquística, desmoplásica y periférica; las tres primeras exhiben comportamiento agresivo con infiltración ósea irregular que justifica manejo quirúrgico radical. (1,6)
El tratamiento constituye el principal desafío terapéutico. Los abordajes conservadores (enucleación, curetaje) presentan tasas de recurrencia del 55-90 %, mientras que la resección con márgenes óseos de seguridad (10-15 mm) reduce la recurrencia al 10-15 %. (7,8)Esta necesidad de cirugía radical se acentúa en diagnósticos tardíos, donde el crecimiento prolongado provoca destrucción masiva de la arquitectura mandibular, compromiso funcional (masticación, fonación) y deformidades faciales severas. (5,9)
La presentación en octava década de vida con evolución de una década y destrucción de más del 50 % de la mandíbula constituye una rareza clínica que subraya la importancia de la detección temprana en la práctica estomatológica rutinaria.
El objetivo de este reporte es describir un caso de ameloblastoma mandibular avanzado en paciente geriátrico, enfatizando las implicaciones del diagnóstico tardío en el manejo quirúrgico y funcional.
PRESENTACIÓN DEL CASO
Se reporta el caso de un paciente masculino de 78 años, de raza negra, que acudió al Servicio de Cirugía Maxilofacial del Hospital Clínico-Quirúrgico-Docente "Faustino Pérez", Matanzas, Cuba.
El paciente presentaba antecedentes de tabaquismo y etilismo crónico. Refirió
un aumento de volumen progresivo e indoloro en la hemicara y región cervical
izquierda, con aproximadamente diez años de evolución, atribuyendo su inicio a
un antecedente traumático (caída). Como motivo de consulta principal, manifestó
dificultad para la alimentación (disfagia mecánica) y el habla (disartria),
además de episodios de sagrado oral de forma recurrente y escasa cuantía.
Examen Físico
Extraoral: Se constató una marcada asimetría facial por aumento de volumen en la región hemimandibular y submandibular izquierda (Figura 1 A y B). A la palpación, se identificó una tumoración de aproximadamente 10 cm en su diámetro mayor, de consistencia pétrea, bien delimitada, no adherida a piel, indolora y sin signos inflamatorios agudos. No se palparon adenopatías cervicales.
Intraoral: Se observó una expansión ósea severa que abarcaba desde la línea media hasta la región retromolar izquierda, con borramiento completo del surco vestibular. La mucosa que la recubría estaba eritematosa, ulcerada en áreas y con signos de sangrado reciente. Se constató ausencia de piezas dentarias en el sector posterior izquierdo y la presencia de restos radiculares en el sector anterior.

Figura 1: Asimetría facial (A: vista frontal, B: vista lateral) por tumoración en hemicara izquierda
Estudios Complementarios y Diagnóstico:
1. Biopsia incisional: bajo anestesia local, se tomó una muestra de tejido para estudio histopatológico, cuyo resultado fue compatible con ameloblastoma.
2. Estudios de Laboratorio: Los exámenes preoperatorios mostraron un perfil compatible con anemia crónica (Hemoglobina: 8.3 g/dL, Hematocrito: 25 %). El resto de los parámetros (biometría hemática completa, glucemia, función renal) se encontraron dentro de límites normales.
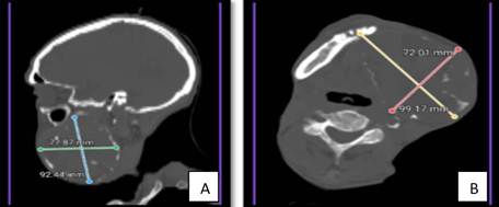
3. Estudio por Imágenes (Tomografía Axial Computarizada - TAC): La TAC facial reveló una lesión osteolítica, expansiva y multiloculada de márgenes bien definidos, que ocupaba por completo el cuerpo y la rama ascendente de la hemimandíbula izquierda, con dimensiones de 7.2 x 9.9 cm en el plano axial y 7.8 x 9.2 cm en el plano coronal (Figura 2A y 2B). No se evidenciaron adenopatías patológicas ni invasión de tejidos blandos adyacentes, pero sí una destrucción ósea que superaba el 50 % de la mandíbula.

Fig. 2: Cortes de TAC (A: sagital, B: axial) que muestran la lesión osteolítica multiloculada en mandíbula izquierda.
Plan Quirúrgico e Intervención:
Se decide intervención quirúrgica bajo anestesia general previa traqueostomía, se aseptiza el campo operatorio con hibitane acuoso para mucosas y tintura de yodo 2 % para piel, se coloca paño hendido y de campo. Se realiza una incisión vertical al labio inferior que continúa hacia el ángulo mandibular izquierdo por debajo del borde basilar de esta, posterior disección del colgajo de mejilla inferior. Se realiza resección en bloque de toda la hemimandíbula izquierda con desarticulación, dicho proceder se conoce como hemimandibulectomía con el fin de remover masa tumoral. Se realiza síntesis de tejidos intraorales con sutura de ácido poliglicólico 4-0 y extraoral con grapas metálicas (Figura 3 A y B). El diagnóstico tardío de este paciente llevó a la pérdida de más del 50 % del tejido óseo mandibular.

Figura 3: Acto quirúrgico. (A) Hemimandibulectomía con desarticulación (B) Defecto post-resección y colgajo reposicionado.
Estudio Histopatológico Definitivo:
El espécimen quirúrgico fue analizado en su totalidad por el Departamento de
Anatomía Patológica. El diagnóstico histopatológico definitivo confirmó
un ameloblastoma, subtipo folicular (Figura 4). Los cortes mostraron
islas y cordones de epitelio odontogénico con disposición en empalizada de las
células periféricas, inmersos en un estroma fibroso (desmoplásico), sin
evidencia de atipia celular o mitosis atípicas que sugirieran transformación
maligna.

Figura 4: Microfotografías (H/E, 100x y 200x) que muestran el patrón histológico folicular del ameloblastoma.
Evolución postoperatoria:
El paciente evolucionó satisfactoriamente sin complicaciones inmediatas. Se mantuvo en observación en unidad de cuidados postoperatorios durante 48 horas. Se inició alimentación por sonda nasogástrica a las 24 horas, y dieta blanda a los 5 días. Se dio de alta al décimo día postoperatorio. A un mes de seguimiento, presentó buena cicatrización de la herida quirúrgica, sin signos de infección ni recurrencia tumoral.
Consentimiento informado: Se obtuvo el consentimiento informado por escrito para la publicación de su caso clínico e imágenes asociadas, garantizando la confidencialidad de sus datos personales. El protocolo se realizó siguiendo los principios éticos de la Declaración de Helsinki.
DISCUSIÓN
El ameloblastoma es una neoplasia odontogénica de comportamiento biológico complejo. En el presente caso, el paciente presentó la lesión a los 78 años, lo cual contrasta con lo planteado por Cardoso et al.,(10), quien sitúa la incidencia principal entre la tercera y quinta décadas de vida. No obstante, la predilección por el sexo masculino coincide con la ligera prevalencia reportada por Ajilay V y Hegde S (11), con una proporción de 1,2:1.
Un aspecto crítico en este caso fue la evolución prolongada de 10 años, que permitió a la lesión alcanzar un tamaño de aproximadamente 10 cm. Esta progresión lenta y asintomática es característica de la entidad, pero en este paciente derivó en una agresividad local extrema. Como señalan Hashemi H et al., (12), la capacidad de infiltración de este tumor conlleva a una gran destrucción tisular y deformidad facial, elementos que fueron evidentes en la marcada asimetría mandibular observada y que justificaron un abordaje quirúrgico radical. (12)
En cuanto a la localización, el tumor se ubicó en la mandíbula, cumpliendo con la estadística de García Cruz et al.,(14) quienes defienden que el 80 % de estos tumores aparecen en dicho hueso, afectando principalmente la rama ascendente. Aunque la etiología es debatida, la relación con dientes impactados es una consideración importante en el análisis de origen de este caso, derivándose probablemente del epitelio del órgano del esmalte. (13)
A pesar de las dimensiones de la masa (10 cm), no se evidenciaron signos de transformación maligna ni metástasis. Esto concuerda con lo expuesto por Delarue et al., (15) quienes declaran que la metástasis es un evento extremadamente raro (menos del 1 % de los casos), incluso en tumores de gran tamaño. No obstante, la magnitud de la lesión obligó a realizar una hemimandibulectomía, un tratamiento invasivo que refleja las consecuencias de una detección tardía.
Finalmente, este caso clínico ilustra de forma fehaciente que, si bien el ameloblastoma es benigno, la demora en el diagnóstico —en este caso de una década— transforma el pronóstico funcional del paciente. Mientras que la detección precoz permite intervenciones mínimamente invasivas, la evolución prolongada de esta paciente resultó en secuelas graves como la pérdida masiva de estructura ósea y la necesidad de una reconstrucción compleja. Esto reafirma que el diagnóstico temprano es el factor determinante para preservar la funcionalidad oral, el habla y la calidad de vida, mitigando el impacto psicológico derivado de cirugías resectivas de gran envergadura.
CONCLUSIONES
Este reporte presenta un caso de ameloblastoma mandibular de gran tamaño con evolución de diez años en un paciente de edad avanzada. El diagnóstico tardío determinó la necesidad de una hemimandibulectomía radical, confirmando que la resección con márgenes amplios sigue siendo el estándar terapéutico en estadios avanzados de esta neoplasia localmente agresiva. El caso subraya la importancia crítica de la detección temprana mediante un alto índice de sospecha clínica en la práctica estomatológica rutinaria, ya que solo la identificación precoz permite intervenciones conservadoras que preservan la funcionalidad oral, la estética facial y la calidad de vida del paciente.
REFERENCIAS BIBLIOGRÁFICAS
1. Hernández Gálvez Y, Ducasse Olivera PA, Abull Jauregui J. Ameloblastoma mandibular: resultados del tratamiento quirúrgico. AACC [Internet]. 2021 [citado 19/09/2025];11(1). Disponible en: https://scielo.sld.cu/scielo.php?script=sci_arttext&pid=S230401062021000100022&lng=es&tlng=es
2. Rabelo CA. Ameloblastoma mandibular convencional en etapa avanzada. CCM [Internet]. 2022 [citado 19/09/2025];26(1):218-26. Disponible en: https://www.medigraphic.com/cgi-bin/new/resumen.cgi?IDARTICULO=113261
3. Soriano Cueto Y, Reyna Villasmil E. Ameloblastoma unquístico de mandíbula. RRMC [Internet]. 2023 [citado 19/09/2025];32(2). Disponible en: https://revistas.facusalud.edu.co/index.php/repertorio/article/view/1251/2459
4. Troya BE, Batista VM, Díaz DD. Hemimandibulectomía por ameloblastoma multiquístico. A propósito de un caso. RME [Internet]. 2021 [citado 19/09/2025];43(2). Disponible en: https://scielo.sld.cu/scielo.php?pid=S1684-18242021000203239&script=sci_abstract&tlng=en
5. Mendoza Álvarez S, Alonso Moctezuma A, Salgado Chavarría F. Ameloblastoma: historia y patogénesis molecular actual. RMCBM [Internet]. 2024 [citado 19/09/2025];20(1). Disponible en: https://www.medigraphic.com/pdfs/cirugiabucal/cb-2024/cb241f.pdf
6. Sánchez JG, Hernández FO, Hernández DY. Reemplazo mandibular con prótesis personalizada de titanio posterior a la exéresis de ameloblastoma. RCE [Internet]. 2021 [citado 19/09/2025];58(3). Disponible en: https://www.medigraphic.com/cgi-bin/new/resumen.cgi?IDARTICULO=109788
7. Suhani G. Ameloblastoma: una revisión narrativa actualizada de un tumor enigmático. Cureus [Internet]. 2022 [citado 19/09/2025];14(8):e27734. Disponible en: https://assets.cureus.com/uploads/review_article/pdf/108348/20220916-25113-8tjhft.pdf
8. Decani S, Quatrale M, Caria V, Moneghini L, Varoni EM. Peripheral Ameloblastoma: A Case Report and Review of Literature. JCM. 2024;13(22):6714. DOI:10.3390/jcm13226714
9. Hu K, Zhang X, Chen R, Li X. Recent methods for the diagnosis and differentiation of ameloblastoma: a narrative review. TF. 2024;17(1). DOI:10.1080/26895293.2024.2354675
10. Cardoso LB, Lopes IA, Ikuta CRS, Capelozza ALA. Study between panoramic radiography and cone beam-computed tomography in the diagnosis of ameloblastoma, odontogenic keratocyst, and dentigerous cyst. J Craniofac Surg. 2020;31(6):1747-52. DOI:10.1097/SCS.0000000000006538
11. Ajilay V, Hegde S. Ameloblastomas vs recurrent ameloblastomas: a systematic review. JOMOS [Internet]. 2022 [citado 20/09/2025];28(1). Disponible en: https://www.jomos.org/articles/mbcb/full_html/2022/01/mbcb210101/mbcb210101.html
12. Hashemi H, Näsman A, Farzad P. Peripheral ameloblastoma presenting as a solid mass in the temporal fossa: A case report and review of the literature. OMSC [Internet]. 2022 [citado 20/09/2025];8(4). Disponible en: https://www.sciencedirect.com/science/article/pii/S2214541922000438
13. Chai ZK, Mao L, Chen H, Sun TG, Shen XM, Liu J, Sun ZJ. Improved diagnostic accuracy of ameloblastoma and odontogenic keratocyst on cone-beam CT by artificial intelligence. Front Oncol. 2021;11:793417. DOI:10.3389/fonc.2021.793417
14. García Cruz CA, Soler Izquierdo E, Niño Peña A, Batista Marrero K. Ameloblastoma unquístico plexiforme de maxilar superior. A propósito de un caso. CCM [Internet]. 2022 [citado 21/09/2025];26(4). Disponible en: https://revcocmed.sld.cu/index.php/cocmed/article/view/4513/2218
15. Delarue M, Derruau S, Troyon P, Bogard F, Polidori G, Mauprivez C. Medical infrared thermography in peri-operative management of peripheral ameloblastoma: A case report. Photodiagnosis Photodyn Ther. 2021;34:102167. DOI:10.1016/j.pdpdt.2020.102167
DECLARACION DE AUTORÍA
PAPP: conceptualización, investigación, metodología, curación de datos, análisis formal, redacción del borrador original, redacción de revisión y edición.
MTLR: conceptualización, curación de datos, análisis formal.
EGEH: investigación, metodología, redacción del borrador original.
EPC: metodología, redacción del borrador original, redacción de revisión y edición.
FUENTES DE FINANCIACÍON
No se recibió financiamiento externo.
CONFLICTO DE INTERESES
Los autores declaran que no existen conflictos de intereses
USO DE INTELIGENCIA ARTIFICIAL
Los autores declaran que no se utilizó inteligencia artificial en la redacción de este manuscrito.