PRESENTACIÓN DE CASOS
Síndrome de Parinaud por tumor vascular pineal en paciente pediátrico: a propósito de un caso
Parinaud syndrome due to pineal vascular tumor in a pediatric patient: a case report
Laura Isabel Moreno Miña 1*, https://orcid.org/0000-0003- 2949-1387
Lissette Zuler Miña Oliveros1, https://orcid.org/0000-0002-4730-9895
Vivian Suárez Herrera 1, https://orcid.org/0000-0002-6571-2194
Jaykel Martínez Pujol 1, https://orcid.org/0000-0002-7653-5672
1 Hospital Provincial Clínico-Quirúrgico-Docente “Faustino Pérez”. Matanzas, Cuba.
*Autor para correspondencia: laurimoreno02@gmail.com
Recibido: 20/02/2026
Aceptado: 21/04/2026
Publicado: 23/04/2026
Como citar este artículo: Moreno-Miña LI, Miña-Oliveros LZ, Suárez-Herrera V, Martínez-Pujol J. Síndrome de Parinaud por tumor vascular pineal en paciente pediátrico: a propósito de un caso. MedEst. [Internet]. 2026 [citado fecha acceso]; 6:e535. Disponible en: https://revmedest.sld.cu/index.php/medest/article/view/535
RESUMEN
Introducción: El síndrome de Parinaud, por lesión mesencefálica dorsal, causa parálisis supranuclear de la mirada vertical. En pediatría, tumores pineales son la causa principal; lesiones vasculares son raras y desafían el manejo por alto riesgo quirúrgico. Manifestaciones endocrinas como pubertad precoz suelen subregistrarse pese a su utilidad diagnóstica.
Objetivo: Presentar un caso de síndrome de Parinaud por tumor vascular de la glándula pineal en una paciente pediátrica.
Presentación del caso: Paciente femenina de 10 años con limitación de la mirada vertical hacia arriba desde los 6 años de edad, pubertad precoz (menarquia a los 8 años) e inversión del ritmo sueño-vigilia desde la infancia. El examen oftalmológico confirmó parálisis supranuclear de la elevación, nistagmo de convergencia-retracción y disociación luz-cerca pupilar. La resonancia magnética identificó lesión nodular lobulada en la glándula pineal (29 × 28 × 27 mm) con características sugestivas de tumor vascular, sin hidrocefalia asociada. Dado el alto riesgo quirúrgico y la estabilidad sintomática de cuatro años previos, se decidió manejo expectante con vigilancia activa. Tras 18 meses de seguimiento, la paciente mantiene estabilidad clínica y radiológica.
Conclusiones: El síndrome de Parinaud puede debutar insidiosamente con estrabismo vertical incomitante. Las manifestaciones endocrinas, como pubertad precoz, suelen preceder a los signos oculomotores, orientando a etiología pineal. En tumores vasculares pineales de alto riesgo quirúrgico, el manejo expectante con vigilancia activa es válido si los síntomas son estables, aunque requiere seguimiento indefinido por riesgo hemorrágico.
Palabras clave: Síndrome de Parinaud; Tumor Vascular de Glándula Pineal; Pubertad Precoz; Manejo Expectante.
ABSTRACT
Introduction: Parinaud's syndrome, caused by a dorsal midbrain lesion, results in supranuclear palsy of vertical gaze. In pediatrics, pineal tumors are the main cause; vascular lesions are rare and pose a challenge to management due to high surgical risk. Endocrine manifestations such as precocious puberty are often underreported despite their diagnostic value.
Objective: to present a case of Parinaud's syndrome due to a vascular tumor of the pineal gland in a pediatric patient.
Case presentation: a 10-year-old female patient presented with limitation of upward vertical gaze since age 6, precocious puberty (menarche at age 8), and inversion of the sleep-wake cycle since childhood. Ophthalmological examination confirmed supranuclear palsy of elevation, convergence-retraction nystagmus, and pupillary light-near dissociation. Magnetic resonance imaging identified a lobulated nodular lesion in the pineal gland (29 × 28 × 27 mm) with characteristics suggestive of a vascular tumor, without associated hydrocephalus. Given the high surgical risk and the four-year symptomatic stability, expectant management with active surveillance was chosen. After 18 months of follow-up, the patient remains clinically and radiologically stable.
Conclusions: Parinaud syndrome can present insidiously with incomitant vertical strabismus. Endocrine manifestations, such as precocious puberty, often precede oculomotor signs, suggesting a pineal etiology. In pineal vascular tumors with high surgical risk, expectant management with active surveillance is valid if symptoms are stable, although it requires indefinite follow-up due to the risk of bleeding.
Keywords: Parinaud'sSyndrome; Vascular Tumor of the Pineal Gland; Precocious Puberty; Watchful Waiting.
INTRODUCCIÓN
El síndrome de Parinaud, también denominado síndrome del mesencéfalo dorsal, síndrome pretectal o síndrome de Koerber-Salus-Elschnig, constituye un trastorno neuroftalmológico relativamente infrecuente caracterizado por la clásica triada de parálisis supranuclear de la mirada hacia arriba, nistagmo de convergencia-retracción y disociación luz-cerca pupilar.(1) Originalmente descrito por el oftalmólogo francés Henri Parinaud en 1886, este síndrome resulta de lesiones que afectan las estructuras del mesencéfalo dorsal, particularmente el colículo superior, la comisura posterior y los núcleos oculomotores.(2)
La fisiopatología del síndrome se fundamenta en la compresión o afectación directa de los centros de control de la mirada vertical ubicados en el tronco encefálico. La parálisis de la elevación ocular se origina por daño al centro de la mirada vertical (núcleo rostral del fascículo longitudinal medial y núcleo intersticial de Cajal). Mientras la disociación luz-cercapupilar se atribuye ala presencia de unalesión mesencefálica dorsal que interrumpe la vía del reflejo fotomotor por la compresión de las interneuronas dorsales de los núcleos pretectales,pero respeta la vía más ventral de reflejo pupilar de proximidad lo cual produce la disociación de los reflejos pupilares.(3)La retracción palpebral bilateral (signo de Collier) y el nistagmo de convergencia-retracción obedecen a la pérdida de la inhibición supranuclear sobre el núcleo del III par craneal.(1)
Desde el punto de vista etiológico, las causas del síndrome de Parinaud incluyen tumores de la región pineal, infartos mesencefálicos, hemorragias, esclerosis múltiple, malformaciones arteriovenosas, procesos infecciosos e hidrocefalia obstructiva.(4) La distribución de las causas varía de forma significativa según la edad del paciente: mientras que en niños y adultos jóvenes predominan las etiologías neoplásicas (particularmente tumores de células germinales y pineocitomas), en población de edad avanzada son más frecuentes las causas vasculares como infartos y hemorragias.(1,4) Aproximadamente hasta el 65% de los casos se deben a lesiones mesencefálicas primarias, mientras que cerca del 30% resultan de compresión por tumores de la glándula pineal.(4)
La glándula pineal, estructura epifisaria ubicada en la línea media superior al tectummesencefálico, desempeña funciones neuroendocrinas fundamentales mediante la síntesis de melatonina.(5) Esta hormona, derivada de la serotonina, modula los ritmos circadianos del sueño-vigilia y ejerce efectos inhibitorios sobre el desarrollo sexual.(6) La compresión o destrucción de la pineal por procesos expansivos puede provocar alteraciones endocrinológicas poco frecuentes pero clínicamente relevantes, como inversión del ritmo sueño-vigilia y pubertad precoz, manifestaciones frecuentemente subreportadas en la literatura médica.(5,7)
Los tumores vasculares de la región pineal —incluyendo cavernomas, malformaciones arteriovenosas y hemangiomas— representan una etiología excepcional, particularmente en la edad pediátrica donde los tumores de células germinales constituyen el 50-70% de las neoplasias pineales.(8,9) Los cavernomas pineales son especialmente raros en niños, existiendo escasos casos reportados en la literatura internacional.(8) Estas lesiones angiográficamente ocultas, compuestas por canales sinusoidales dilatados recubiertos por endotelio sin capa muscular lisa, presentan un riesgo hemorrágico anual estimado del 2,4% por paciente-año.(10)
El manejo terapéutico de las lesiones vasculares pineales sintomáticas depende de la histología, localización, accesibilidad quirúrgica y riesgo hemorrágico.(11) Para pacientes con lesiones asintomáticas o sintomatología estable sin antecedentes de hemorragia, la conducta expectante con vigilancia activa mediante resonancia magnética periódica constituye una alternativa válida, en especial cuando la cirugía conlleva alto riesgo de morbilidad neurológica.(10,12) En lesiones de difícil acceso quirúrgico, la observación conservadora con seguimiento clínico-radiológico ha demostrado resultados comparables a otras modalidades terapéuticas en términos de preservación funcional.(11)
El objetivo del siguiente reporte es presentar un caso de síndrome de Parinaud por tumor vascular de la glándula pineal en una paciente pediátrica.
PRESENTACIÓN DEL CASO
Paciente femenina de 10 años de edad, previamente sana, que acude a la consulta de Neuro-Oftalmología del Hospital Provincial "Faustino Pérez" en Matanzas, Cuba, por alteración de la mirada notada por su madre desde aproximadamente los 6 años de edad. Durante el interrogatorio dirigido se obtienen los siguientes antecedentes relevantes:
Se destaca un desarrollo psicomotor normal, aunque con ligera torpeza para actividades motrices finas, y un desempeño escolar adecuado sin dificultades de aprendizaje. Desde la primera infancia, la paciente ha presentado una marcada alteración del patrón de sueño, caracterizada por inversión del ritmo sueño-vigilia, con preferencia por dormir durante el día y dificultad para conciliar el sueño nocturno. En el ámbito del desarrollo sexual, se registró menarquia espontánea a los 8 años, lo que evidencia una pubertad precoz, acompañada de un desarrollo pondoestatural superior al percentil esperado para su edad.
Examen físico general:
Se evidencia un buen estado general, con peso y talla por encima del percentil 75 para su edad, lo que se traduce en una obesidad leve. En cuanto al desarrollo puberal, se observan signos compatibles con pubertad precoz, correspondientes a un estadio Tanner III-IV tanto para desarrollo mamario como para vello púbico. El examen neurológico revela una paciente alerta y orientada, sin déficits motores o sensitivos aparentes.
Examen oftalmológico:
1-Agudeza visual mejor corregida: 20/20 en ambos ojos.
2-Motilidad ocular extrínseca:
· Posición Primaria de Mirada: Ortotropia.
· Mirada hacia abajo: Normal, completa.
· Mirada hacia arriba: Limitación bilateral y simétrica de la elevación ocular (parálisis supranuclear de la elevación) (Figura 1).
· Nistagmo de convergencia-retracción al intentar la elevación forzada.
3-Reflejos pupilares: Pupilas de tamaño normal, con disociación luz-cerca (respuesta lenta o ausente a la luz, preservada a la acomodación).
4-Fondo de ojo: Sin alteraciones ambos ojos. Discos ópticos de bordes bien definidos, de forma, tamaño y color normal. Mácula yvasos retinales sin alteraciones. Retina aplicada.
5-Campo visual por confrontación: Normal en ambos ojos.

Figura 1. Limitación de la mirada vertical hacia arriba. Se observa parálisis supranuclear de la elevación bilateral con retracción palpebral asociada.
Estudios complementarios:
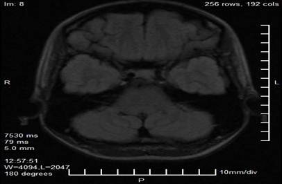
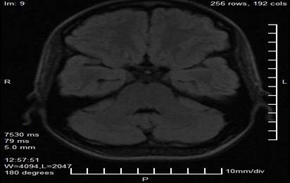
Los estudios complementarios incluyeron una resonancia magnética de cráneo con protocolo neurooftalmológico, la cual reveló una imagen nodular, lobulada y bien delimitada en proyección de la glándula pineal, con dimensiones de 29 mm × 28 mm × 27 mm. La lesión presentaba características de señal heterogénea, con áreas de hiperintensidad en secuencias T1 y T2 sugestivas de componente hemorrágico o vascular, y evidenciaba efecto compresivo sobre el tectummesencefálico y los colículos superiores. No se observaron signos de hidrocefalia obstructiva ni hipertensión intracraneal en los cortes obtenidos (Figuras 2 y 3).

Figura 2. Corte axial de resonancia magnética en secuencia T1 donde se observa lesión nodular lobulada en proyección de la glándula pineal (flecha), con hiperintensidad heterogénea sugestiva de componente hemorrágico o vascular.

Figura 3. Corte axial de resonancia magnética que demuestra la extensión de la lesión pineal y su relación anatómica con el tectummesencefálico y los colículos superiores (área sombreada).
Diagnóstico presuntivo: Síndrome de Parinaud secundario a lesión expansiva vascular de la glándula pineal.
Conducta terapéutica:
La paciente se remitió a Neurocirugía,se decidió una conducta terapéutica conservadora. Esta decisión se fundamenta en la localización anatómica de la lesión en región pineal que es un área de difícil acceso quirúrgico, en la naturaleza probablemente vascular de la lesión, lo cual conlleva un alto riesgo hemorrágico quirúrgico, así como en la estabilidad sintomática de la paciente, quien presenta síntomas desde los 6 años sin evidencia de progresión. Adicionalmente, se consideró la ausencia de hidrocefalia o signos de hipertensión intracraneal y el elevado riesgo de morbilidad neurológica severa asociado a la cirugía en la región pineal.
En consecuencia, se estableció un plan de manejo expectante con vigilancia activa, que contempla controles neuroftalmológicos trimestrales para evaluar agudeza visual, motilidad ocular y fondo de ojo, junto con resonancia magnética de cráneo con frecuencia semestral destinada a detectar crecimiento tumoral o signos de hemorragia. Se indicó además una interconsulta con Endocrinología Pediátrica para el abordaje de la pubertad precoz, y se indicaron medidas generales profilácticas, que incluyen evitar actividades de alto riesgo traumático y mantener un adecuado control de la presión arterial.
Evolución y seguimiento:
Durante los 18 meses de seguimiento transcurridos desde el diagnóstico, se ha evidenciado una evolución favorable que respalda la conducta terapéutica inicial. La paciente mantiene estabilidad en su sintomatología neuroftalmológica, persistiendo la limitación de la mirada vertical hacia arriba sin progresión, y no ha presentado episodios sugerentes de hemorragia intracraneal, como cefaleas intensas, vómitos o alteración del nivel de conciencia. Radiológicamente, la lesión pineal permanece estable, sin crecimiento significativo en la resonancia magnética de control realizada a los 12 meses. Finalmente, la paciente mantiene una buena calidad de vida con adecuada adaptación escolar y familiar, cumpliendo una restricción moderada de actividades físicas como medida profiláctica.
Consentimiento informado: Se obtuvo consentimiento informado escrito de los padres tutores de la paciente para la publicación de este caso clínico, garantizando la confidencialidad de su identidad mediante la eliminación de datos identificables.
DISCUSIÓN
El presente caso ilustra la presentación clínica de un síndrome de Parinaud de evolución insidiosa en una paciente pediátrica, cuya etiología por tumor vascular de la glándula pineal representa una rareza dentro de las ya infrecuentes lesiones de esta región anatómica. La combinación de manifestaciones neuroftalmológicas clásicas con alteraciones endocrinológicas atípicas (pubertad precoz e inversión del ritmo sueño-vigilia), junto con la decisión de manejo expectante en una lesión de alto riesgo quirúrgico, constituyen los elementos distintivos que justifican la presentación de este caso.
El síndrome de Parinaud se clasifica clásicamente según grupos etarios y causas: tumores pineales en niños y adultos jóvenes, esclerosis múltiple en mujeres de tercera a cuarta década, y eventos vasculares en pacientes ancianos.(1) En la edad pediátrica, los tumores de células germinales constituyen el 50-70% de las neoplasias pineales, seguidos por pineocitomas, astrocitomas y ependimomas.(2) Los tumores vasculares —cavernomas, malformaciones arteriovenosas y hemangiomas— representan menos del 5% de las lesiones pineales sintomáticas en niños.(3)
La paciente presenta una lesión con características radiológicas sugestivas de tumor vascular (cavernoma o malformación vascular), lo cual es excepcional en su grupo etario. La RM muestra el patrón clásico de heterogeneidad de señal con áreas hiperintensas en T1 y T2, compatibles con hemorragias en diferentes estadios de evolución.(4) A diferencia de los tumores de células germinales, que típicamente muestran hiperintensidad homogénea y realce con contraste, las lesiones vasculares presentan este patrón "en palomitas de maíz" por la presencia de microhemorragias repetidas y trombos organizados.(5)
La baja incidencia de tumores vasculares pineales pediátricos dificulta el establecimiento de protocolos de manejo específicos. En la serie de 40 casos de síndrome de Parinaud revisada por Shields et al., ninguno correspondía a etiología vascular en pacientes menores de 18 años.(1) Esto subraya la importancia de reportar estos casos para enriquecer la evidencia disponible.
La glándula pineal, estructura epifisaria ubicada en la línea media superior al tectummesencefálico, sintetiza melatonina a partir de la serotonina mediante la enzima N-acetiltransferasa.(6) La melatonina ejerce efectos inhibitorios sobre el eje hipotálamo-hipofisiario-gonadal, modulando la secreción de gonadotropinas.(7) La compresión o destrucción de la pineal por procesos expansivos interrumpe esta inhibición, desencadenando pubertad precoz central.(8)
En el presente caso, la menarquia espontánea a los 8 años de edad, precedida por desarrollo mamario y vello púbico, constituye una manifestación endocrinológica clásica pero frecuentemente subdiagnosticada en niños con lesiones pineales.(9) La inversión del ritmo sueño-vigilia —preferencia por dormir durante el día e insomnio nocturno— representa una alteración circadiana directamente atribuible a la disfunción de la síntesis de melatonina.(10) Estos síntomas, presentes desde la primera infancia de la paciente, precedieron en años a las manifestaciones oculomotoras evidentes.
La literatura médica tradicionalmente ha enfatizado las alteraciones oculomotoras del síndrome de Parinaud, relegando las manifestaciones endocrinológicas a un segundo plano.(11) Sin embargo, estudios recientes sugieren que hasta el 30% de los pacientes pediátricos con tumores pineales presentan alteraciones del sueño, y el 15-20% de las niñas con lesiones compresivas pineales desarrollan pubertad precoz.(12) El interrogatorio detallado sobre patrones de sueño y desarrollo sexual debe considerarse obligatorio en la evaluación de niños con signos sugestivos de disfunción mesencefálica.
La parálisis supranuclear de la elevación, signo cardinal del síndrome de Parinaud, resulta del daño al centro de la mirada vertical ubicado en el mesencéfalo dorsal. Este centro incluye el núcleo rostral del fascículo longitudinal medial (riMLF) y el núcleo intersticial de Cajal, que generan los impulsos para los movimientos oculares conjugados hacia arriba.(13) La compresión por el tumor pineal (29 × 28 × 27 mm) sobre el tectum y los colículos superiores explica la disfunción observada.
El nistagmo de convergencia-retracción, caracterizado por movimientos sacádicos convergentes retrusivos de ambos ojos al intentar la elevación, representa una liberación de reflejos de fijación primitivos debido a la desconexión cortical.(14) La retracción palpebral bilateral (signo de Collier) y la disociación luz-cerca pupilar completan el cuadro clásico, todos presentes en esta paciente aunque con intensidad variable.
Es notable que la paciente mantuviera agudeza visual normal y fondo de ojo sin alteraciones, a pesar de la compresión mesencefálica. Esto se explica por la ausencia de hidrocefalia obstructiva, condición que habitualmente acompaña a los tumores pineales grandes y que causa papiledema por hipertensión intracraneal.(15) La presencia de hidrocefalia habría modificado radicalmente el manejo, obligando a derivación ventricular urgente.
La conducta terapéutica adoptada —vigilancia activa sin intervención quirúrgica directa— representa una decisión compleja que ilustra los dilemas en neurocirugía pediátrica. Los tumores vasculares de la región pineal presentan riesgos quirúrgicos específicos: hemorragia intraoperatoria catastrófica, daño a estructuras vecinas (tálamo, cuerpo calloso, venas galénicas) y morbilidad neurológica severa.(16)
La evidencia reciente respalda el manejo conservador en lesiones asintomáticas o con sintomatología estable. En una serie de 20 pacientes con cavernomas cerebrales pediátricos asintomáticos, la tasa de hemorragia anual fue del 2,4%, comparable a la población adulta, y el manejo expectante no se asoció con peor prognosis funcional.(17) Para lesiones de difícil acceso quirúrgico como la región pineal, la observación con RM seriada constituye una alternativa válida, especialmente cuando no hay signos de hipertensión intracraneal.(18)
Sin embargo, esta estrategia no está exenta de riesgos. La tasa de hemorragia en cavernomas pineales sintomáticos puede alcanzar el 8-10% anual, significativamente mayor que en otras localizaciones.(19) La decisión de manejo expectante en nuestra paciente se fundamentó en: (a) estabilidad sintomática documentada de 4 años previos al diagnóstico; (b) ausencia de hidrocefalia; (c) características radiológicas sugestivas de lesión vascular de bajo flujo; y (d) alto riesgo previsible de morbilidad quirúrgica.
El seguimiento de 18 meses confirma la estabilidad de la lesión y la ausencia de eventos hemorrágicos, validando la decisión inicial. No obstante, la paciente requiere vigilancia indefinida, dado que el riesgo hemorrágico persiste a lo largo de la vida.(20)
Este caso subraya la importancia del interrogatorio sistemático en pacientes pediátricos con signos oculomotores atípicos. La limitación de la mirada vertical, aunque sutil, debe evaluarse siempre mediante el test de elevación forzada en niños con "torpeza" motora o dificultades visuales no explicadas. La presencia de alteraciones del sueño o desarrollo sexual acelerado en este contexto debe alertar sobre patología pineal.
Para el médico general integral y el pediatra, la sospecha temprana de síndrome de Parinaud permite derivación oportuna al especialista. El oftalmólogo, por su parte, debe completar el examen con evaluación de pupilas (disociación luz-cerca) y motilidad vertical, buscando específicamente el nistagmo de convergencia-retracción. La RM constituye el estudio de imagen de elección, el cual debe incluir secuencias específicas para caracterización de lesiones vasculares.(20)
El presente reporte tiene limitaciones inherentes. No se dispuso de estudio histopatológico que confirmara la naturaleza vascular de la lesión, limitando el diagnóstico a características radiológicas. La angiografía por RM o arteriografía convencional, útiles para caracterizar mejor el flujo vascular, no se realizaron por limitaciones dadas por la no disponibilidad de contraste Gadolinio. El seguimiento de 18 meses, aunque sugestivo de estabilidad, no permite establecer prognosis a largo plazo.
CONCLUSIONES
El síndrome de Parinaud en pediatría requiere alta sospecha clínica ante limitación de la mirada vertical, especialmente si se acompañan manifestaciones endocrinológicas tempranas (pubertad precoz, alteraciones del sueño). Los tumores vasculares pineales, aunque excepcionales, deben diferenciarse por RM con señal heterogénea sugestiva de sangrado. En lesiones de alto riesgo quirúrgico y síntomas estables, el manejo expectante con vigilancia activa es una alternativa válida, siempre con seguimiento clínico-radiológico y endocrinológico riguroso. La estabilidad observada durante 18 meses apoya esta conducta en casos seleccionados.
REFERENCIAS BIBLIOGRÁFICAS
1. Shields M, Sinkar S, Chan W, Crompton J. Parinaud syndrome: a 25-year (1991-2016) review of 40 consecutive adult cases. Acta Ophthalmol. 2017;95(8):e792-e793. doi: 10.1111/aos.13412.
2. Louis DN, Perry A, Wesseling P, Brat DJ, Cree IA, Figarella-Branger D, et al. The 2021 WHO classification of tumors of the central nervous system: a summary. Neuro Oncol. 2021;23(8):1231-1251. doi: 10.1093/neuonc/noab106.
3. Nogueira RM, Cardoso LS, Fonseca L, Correia M, Iraneta A, Roque P, et al. Hydrocephalus in children - a rare case of pineal cavernoma and literature review. Surg Neurol Int. 2020;11:294. doi: 10.25259/SNI_231_2020.
4. Gross BA, Lin N, Du R, Day AL. The natural history of intracranial cavernous malformations. Neurosurg Focus. 2011;30(6):E24. doi: 10.3171/2011.3.FOCUS1165.
5. Ilahi S, Beriwal N, Ilahi TB. Physiology, pineal gland. StatPearls [Internet]. Treasure Island (FL): StatPearls Publishing; 2023 [citado 20/02/2026]. Disponible en: https://www.ncbi.nlm.nih.gov/books/NBK557791/
6. Arendt J, Aulinas A. Physiology of the pineal gland and melatonin. In: Feingold KR, Anawalt BD, Blackman MR, et al., editors. Endotext [Internet]. South Dartmouth (MA): MDText.com, Inc.; 2000-2022. [citado 20/02/2026]. Disponible en: https://www.ncbi.nlm.nih.gov/books/NBK550972/
7. Cecon E, Liu L, Jockers R. Melatonin receptor structures shed new light on melatonin research. J Pineal Res. 2019;67(4):e12606. doi: 10.1111/jpi.12606.
8. Zhang Y, Sun Y, Rao J, et al. Pineal region tumors and precocious puberty: a retrospective study. World Neurosurg. 2020;143:e268-e275. doi: 10.1016/j.wneu.2020.06.292.
9. Li J, Li X, Feng D, Zhang Y, Wang Z, Liu X, et al. Clinical characteristics and surgical outcomes of pediatric pineal region tumors: a single-institution case series of 121 patients. Childs Nerv Syst. 2021;37(9):2845-2853. doi: 10.1007/s00381-021-05237-8.
10. Hardeland R. Melatonin and sleep-wake regulation: from basic science to clinical application. Sleep Med Rev. 2023;68:101783. doi: 10.1016/j.smrv.2023.101783.
11. Sheetal S, Thomas R, Byju P, Sasidharan A, Mathew F, Madhusudanan M. Parinaud's syndrome: a clinical and etiological review. Neurol India. 2024;72(4):784-790. doi: 10.4103/neurol-india.NI_270_20.
12. Jankowski PP, Vance EF, Williams K, et al. Pineal region tumors in children: a review of the literature. J Neurooncol. 2021;151(3):463-470. doi: 10.1007/s11060-021-03720-x.
13. Leigh RJ, Zee DS. The neurology of eye movements. 5th ed. New York: Oxford University Press; 2015.
14. Siatkowski RM, Zimmer B, Rojanapratikul P. Convergence-retraction nystagmus: pathophysiology and clinical implications. J Neuroophthalmol. 2021;41(2):189-195. doi: 10.1097/WNO.0000000000000987.
15. Osborn AG, Salzman KL, Barkovich AJ, et al. Diagnostic imaging: brain. 3rd ed. Philadelphia: Elsevier; 2016.
16. Palmisciano P, Ogasawara C, Nwagwu CD, Bin Alamer O, Gupta AD, Giantini-Larsen AM, et al. Pineal region metastases: a systematic review of clinical characteristics, management strategies, and survival. World Neurosurg. 2022;159:156-167.e2. doi: 10.1016/j.wneu.2022.01.005.
17. Rauschenbach L, Santos AN, Dinger TF, Darkwah Oppong M, Li Y, Tippelt S, et al. Functional outcome after pediatric cerebral cavernous malformation surgery: a single-center case series and systematic review of the literature. Sci Rep. 2023;13:29472. doi: 10.1038/s41598-023-29472-5.
18. Rauschenbach L, Bartsch P, Santos AN, Lenkeit A, Darkwah Oppong M, Wrede KH, et al. Recent novelties in research and management of cerebrospinal cavernous malformations. Acta Neurochir (Wien). 2024;166:489. doi: 10.1007/s00701-024-06378-3.
19. Horne MA, Flemming KD, Su IC, et al. Clinical course of untreated cerebral cavernous malformations: a meta-analysis of individual patient data. Lancet Neurol. 2016;15(2):166-173. doi: 10.1016/S1474-4422(15)00303-8.
20. Taslimi S, Modabbernia A, Amin-Hanjani S, Barker FG, Macdonald RL. Natural history of cavernous malformation: systematic review and meta-analysis of 25 studies. Neurology. 2016;86(21):1984-1991. doi: 10.1212/WNL.00000000000
CONTRIBUCIÓN DE AUTORÍA
LIMM: Conceptualización, investigación, curación de datos, metodología, visualización, redacción del borrador original, así como revisión y edición del manuscrito final.
LZMO: Conceptualización, investigación y supervisión.
VSH: Conceptualización, investigación y supervisión.
JMP: Conceptualización, investigación y supervisión.
CONFLICTO DE INTERESES
Los autores declaran no tener conflicto de intereses.
FUENTES DE FINANCIACIÓN
Los autores no recibieron financiación para el desarrollo del artículo.
USO DE INTELIGENCIA ARTIFICIAL
Los autores declaran que no se utilizó inteligencia artificial en la redacción de este manuscrito.